SarahB.
Geocacherin
Hi Liebe Leute,
mal wieder Zeit für ein kleines Update über den Stand der Dinge..
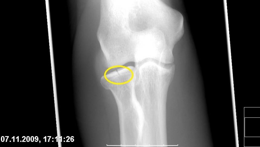
Also, am 11.9 war ja Termin beim Orthopäden. Dabei kam nach ca.2h Warten und nicht mal 10Min.Bla Bla beim Dok raus, das da noch ein Knochenstückchen im Gelenk rumwabert was bei wiederkehrenden Schmerzen raus muss.
Da ich aber in den zurückliegenden 14 Tagen so gut wie fast keine Schmerzen mehr habe, hat sich das Thema erstmal erledigt.
Es knirscht und knackt im Ellenbogen, aber das behindert mich im Moment nicht.
Sollte es wieder schlimmer werden, so könnte man eben jenen genannten Eingriff noch machen - wobei ich nicht weiß ob ich wieder jenen Arzt dann aufsuchen werde - da ich mich doch so "nebenbei" abgefertigt vorkam.
(Oder ist das das allgemein gültige Schicksal einer Kassenpatentien?)
Ich habe übrigens ein recht interessante Abhandlung zum Thema "Ellenbogenluxation" im Web gefunden ( fragt mich jetzt aber bitter nicht mehr wo.../ ich habe eine PDF-Datei die ich bei Bedarf weitergeben kann)
Darin wird u.a. darüber berichtet, das Knochenabsprengungen/freie Gelenkkörper zu beschleunigter Arthrose führen könnten...
Ich bin ja erst Anfang dreißig - mag sein das mir jenes "angeknackstes" Gelenk mir in Zehn Jahren mehr Schwierigkeiten bereiten könnte...
LG
Sarah
mal wieder Zeit für ein kleines Update über den Stand der Dinge..
Also, am 11.9 war ja Termin beim Orthopäden. Dabei kam nach ca.2h Warten und nicht mal 10Min.Bla Bla beim Dok raus, das da noch ein Knochenstückchen im Gelenk rumwabert was bei wiederkehrenden Schmerzen raus muss.
Da ich aber in den zurückliegenden 14 Tagen so gut wie fast keine Schmerzen mehr habe, hat sich das Thema erstmal erledigt.
Es knirscht und knackt im Ellenbogen, aber das behindert mich im Moment nicht.
Sollte es wieder schlimmer werden, so könnte man eben jenen genannten Eingriff noch machen - wobei ich nicht weiß ob ich wieder jenen Arzt dann aufsuchen werde - da ich mich doch so "nebenbei" abgefertigt vorkam.
(Oder ist das das allgemein gültige Schicksal einer Kassenpatentien?)
Ich habe übrigens ein recht interessante Abhandlung zum Thema "Ellenbogenluxation" im Web gefunden ( fragt mich jetzt aber bitter nicht mehr wo.../ ich habe eine PDF-Datei die ich bei Bedarf weitergeben kann)
Darin wird u.a. darüber berichtet, das Knochenabsprengungen/freie Gelenkkörper zu beschleunigter Arthrose führen könnten...
Ich bin ja erst Anfang dreißig - mag sein das mir jenes "angeknackstes" Gelenk mir in Zehn Jahren mehr Schwierigkeiten bereiten könnte...
LG
Sarah
, geruhsame Tage und ein vor allem gesundes 2009
Links zum Glück nur das Speichenköpfchen, rechts eine Monteggia-Fraktur am Ellenbogen und zusätzlich auch noch das Handgelenk. Also eigentlich alles kaputt was nur irgendwie kaputtgehn kann, dass schaffen auch nur wenige (Docs meinten, beide Arme auf einmal wäre eher eine typische Inlineskater-Verletzung. Keine Ahnung wie ich genau auf die Straße aufgetroffen bin, hab da ein paar Sekunden Gedächtnislücke).
auch vorn übern Lenker + harte Landung = Radiusköpfchenfraktur im rechten Arm.