Von Technikverweigerern und Ewiggestrigen, oder wieso fährt man sonst auf 26er ab?

Wie heißt es so schön?
Pokal oder Spital.
Anhang anzeigen 747120

War auf der Abfahrt nach Torbole wohl ein wenig zu optimistisch unterwegs. Konnte aber immerhin die Abfahrt noch beenden. Alles halb so schlimm, dem Ratt geht es gut :aetsch:
Oha gute Besserung!
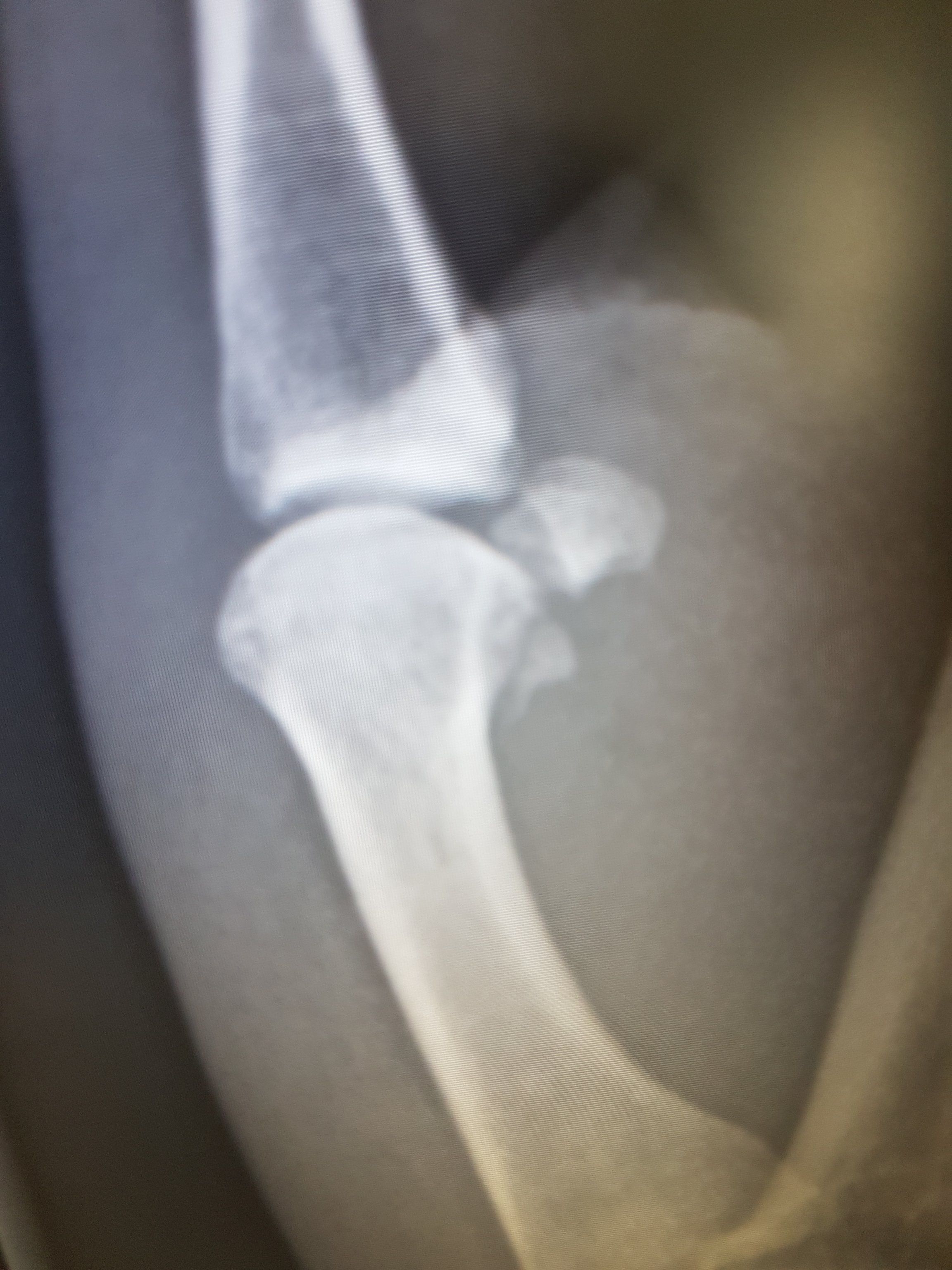
Was genau ist denn passiert und was sieht man da auf dem Bild?
Ich erkenne auf dem Bild nur so viel, dass es so vermutlich nicht aussehen sollte.
Wie kommste dann am Ende zurück? Auf deinen Rad fahrend wohl nicht mehr oder?
 

Anzeige

Re: Von Technikverweigerern und Ewiggestrigen, oder wieso fährt man sonst auf 26er ab?
Oha gute Besserung!
Was genau ist denn passiert und was sieht man da auf dem Bild?
Ich erkenne auf dem Bild nur so viel, dass es so vermutlich nicht aussehen sollte.
Wie kommste dann am Ende zurück? Auf deinen Rad fahrend wohl nicht mehr oder?
Ich bin in einem Steinfeld auf der letzten Abfahrt zum Reiseziel Torbole bei nicht allzu langsamer Fahrt über den Lenker abgegangen. Dabei habe ich den rechten Daumen überstreckt, wodurch rs zu einer Knochemabsplitterung im rechten Daumen kam. Ich hab auch schnell gemerkt dass da was ist. Es war allerdings nicht sonderlich schmerzhaft, weshalb ich die letzten paar hundert Tiefenmeter weitergefahren bin. Das war nur nicht ganz so einfach, denn in den groben Steinfeldern gab es fiese Längsrillen und gemeine Steine, welche ab und an mit starker Kraft die Lenkrichtung beeinflussen. Da ich den Lenker nach dem Sturz nicht mehr so fest halten konnte waren diese S2 Passagen trotz extra breiten Lenker nicht mehr so leicht zu bewältigen.
Am nächsten Tag war ich in Rovereto im Krankenhaus, wo der Bruch diagnostiziert wurde und ich nen Casting mit Klettverschluss verpasst bekam.
Gestern habe ich mich nicht zurückhalten können und hab mit den Kumpels nen Ausflug zu dem See und schwimmen mitgemacht. Nur 700 Höhenmeter und S0, also ne leichte Strecke. Der Arzt hat mir ja auch nur vom Autofahren abgeraten. :o
War zum Abschluss ne schöne Tagestour, und Schmerzen hatte ich auch nicht.
Gleich geht es mit nem Bikeshuttle für uns zurück nach Garmisch, wo der VW Bus steht.
20180630_184308.jpg
 

Anhänge

  • 20180630_184308.jpg
    20180630_184308.jpg
    4,2 MB · Aufrufe: 196
Zuletzt bearbeitet:
Das Giant hat ne eher miese Ausstattung, den Wert schätze ich eher Richtung maximal 100 Ocken. Mechanische Scheibenbremsen und ne RST Gabel, pfui!

Das Cannondale ist da eher schon was besonderes und sieht wirklich recht neuwertig bzw. gut gepflegt aus. Ich würde den Wert auf grob 400 Ocken für Liebhaber schätzen.
 
Ich war es nicht, abba ich glaube ich hab ihn gesehen. :spinner:
Mit dem Shuttlebus haben wir auf ner Schnellstraße nen Radler auf nen Trekkingbike gesehen.
 
Die einen stürzen sich (sprichwörtlich) halsbrecherische Geröllfelder hinunter, andere bringen den Puls beim Klettern zum kotzen und wieder andere suchen den finalen Kick eben auf der Schnellstraße. Männer.
:D
 
Zuletzt bearbeitet:
Miste.
Der italienische Doc faselte noch was von drei Wochen Casting, danach erneut röntgen und alles wäre wieder tutto bene.

Von wegen.:eek:

Ich hab mich in Hamburg sicherheitshalber erneut untersuchen lassen. Es wurde ein kompletter Sehnenabriss am rechten Daumengelenk festgestellt, der sog. Skidaumen. OP unumgänglich.
Danach 6 Wochen Schiene und absolute Ruhe.

Ich mach also den Fumic, dem ja bei dem Epic die Sehne des Ringfingers gerissen ist und anschließend operiert wurde. Bin ich zumindest in prominenter Gesellschaft.. :D
 
Miste.
Der italienische Doc faselte noch was von drei Wochen Casting, danach erneut röntgen und alles wäre wieder tutto bene.

Von wegen.:eek:

Ich hab mich in Hamburg sicherheitshalber erneut untersuchen lassen. Es wurde ein kompletter Sehnenabriss am rechten Daumengelenk festgestellt, der sog. Skidaumen. OP unumgänglich.
Danach 6 Wochen Schiene und absolute Ruhe.

Ich mach also den Fumic, dem ja bei dem Epic die Sehne des Ringfingers gerissen ist und anschließend operiert wurde. Bin ich zumindest in prominenter Gesellschaft.. :D
Oha gute Besserung!
Hoffe das geht alles ohne Komplikationen von statten.
 
So ein Pech: Über sechs Wochen keine Hammer-, Flex- und Schweißaktionen! :wut:
Auch von mir alles Gute und baldige Genesung.
VG, Armin.
 
Erstmal das Belanglose vorweg: Vorgestern lag ich unterm Messer, alles ist gut verlaufen.

Und nun zum Eigentlichen: Die nun vierte Fahrt mit meinem ständig verschlimmbesserten Alteisen über die altehrwürdigen Alpen bestärkt mich in meiner Überzeugung, daß in den Herzen unserer Youngtimer all die Tugenden und Gene schlummern, die auch nach heutigen Maßstäben eine gehörige Portion Fahrspaß versprechen. Man muß nur die teilweise verborgenen Talente ab und an ein wenig herauskitzeln, wo uns der Wissensvorsprung aus der aktuellen Entwicklung des MTB-Sports punkto Geo und was-weiß-ich-noch gegenüber den Entwicklern unserer geliebten Alteisen enorm weiterhelfen kann.

Ich für meinen Teil finde die verglichen mit früher deutlich abfahrtsorientiertere Schwerpunktsetzung grundsätzlich super. Ich fahre gerne bergauf, aber noch viel lieber wenn ich anschließend auch noch mit Spaß ordentlich runterkacheln kann. Und wenn dann im Downhill mir die Kumpels mit dem modernen Gedöns gnadenlos um die Ohren fahren, dann dämpft das den Spaßfaktor schon ein wenig. Klar, man kann auch langsamer runterfahren und Spaß haben, hatte ich bisher ja auch, aber geiler ist es genauso schnell wie die Anderen runterzukacheln. Wofür ich einiges am Bike ändern mußte. Und das, verdammt nochmal, hat sich gelohnt!
 
Erstmal das Belanglose vorweg: Vorgestern lag ich unterm Messer, alles ist gut verlaufen.

Und nun zum Eigentlichen: Die nun vierte Fahrt mit meinem ständig verschlimmbesserten Alteisen über die altehrwürdigen Alpen bestärkt mich in meiner Überzeugung, daß in den Herzen unserer Youngtimer all die Tugenden und Gene schlummern, die auch nach heutigen Maßstäben eine gehörige Portion Fahrspaß versprechen. Man muß nur die teilweise verborgenen Talente ab und an ein wenig herauskitzeln, wo uns der Wissensvorsprung aus der aktuellen Entwicklung des MTB-Sports punkto Geo und was-weiß-ich-noch gegenüber den Entwicklern unserer geliebten Alteisen enorm weiterhelfen kann.

Ich für meinen Teil finde die verglichen mit früher deutlich abfahrtsorientiertere Schwerpunktsetzung grundsätzlich super. Ich fahre gerne bergauf, aber noch viel lieber wenn ich anschließend auch noch mit Spaß ordentlich runterkacheln kann. Und wenn dann im Downhill mir die Kumpels mit dem modernen Gedöns gnadenlos um die Ohren fahren, dann dämpft das den Spaßfaktor schon ein wenig. Klar, man kann auch langsamer runterfahren und Spaß haben, hatte ich bisher ja auch, aber geiler ist es genauso schnell wie die Anderen runterzukacheln. Wofür ich einiges am Bike ändern mußte. Und das, verdammt nochmal, hat sich gelohnt!
Erstmal gute Besserung.
Ich finde deinen Ansatz ja Klasse, aber kannst du hundertprozentig ausschließen, das gerade nicht auch die Winkelveränderung am Lenkwinkel den Sturz mit verursacht hat?
Kein Zweifel?
Das ist nicht böse gemeint, verbessere meine Alteisen ja auch ständig, aber bei solchen Sachen bin ich vorsichtig.
Nach gut 2.500 km dieses Jahr im direkten Vergleich vom 26er zum neuen 29er kann ich sagen, das das 29er in kritischen Bereichen leichter zu fahren ist als das 26er. Es fährt sich "lässiger", hat mehr Reserven.
Beides sind super Bikes, und dank der neuen XT Einfachschaltung wird das 26er auch weiter genutzt, es gibt nicht den Effekt, och altes Eisen, ich fahr nur noch neues Zeug.
Gute Räder bleiben gute Räder.
 
Erstmal gute Besserung.
Ich finde deinen Ansatz ja Klasse, aber kannst du hundertprozentig ausschließen, das gerade nicht auch die Winkelveränderung am Lenkwinkel den Sturz mit verursacht hat?
Kein Zweifel?
Das ist nicht böse gemeint, verbessere meine Alteisen ja auch ständig, aber bei solchen Sachen bin ich vorsichtig.
Nach gut 2.500 km dieses Jahr im direkten Vergleich vom 26er zum neuen 29er kann ich sagen, das das 29er in kritischen Bereichen leichter zu fahren ist als das 26er. Es fährt sich "lässiger", hat mehr Reserven.
Beides sind super Bikes, und dank der neuen XT Einfachschaltung wird das 26er auch weiter genutzt, es gibt nicht den Effekt, och altes Eisen, ich fahr nur noch neues Zeug.
Gute Räder bleiben gute Räder.
Ja, das kann ich zu 100 % ausschließen. Eher das Gegenteil ist der Fall. Wäre ich ohne den veränderten Lenkwinkel mit dem gleichem Speed diese Tour die Berge runtergeballert, dann hätte ich mich auf sicher deutlich häufiger in Sturzgefahr befunden. Verglichen mit zuvor hat mein Bike nun deutlich mehr Reserven zu bieten und lässt sich wesentlich lässiger fahren, um Deine Ausdrücke zu bemühen.:D

Die Fahreigenschaften eines Bikes beruht auf vielen Faktoren. Nicht alle sind abänderbar, aber viele schon. Mit ein wenig Gehirnschmalz und genügend Testkilometern kann man recht genau beurteilen ob und wie eine Änderung sich auswirkt. Die einzigen negativen Auswirkungen, die ich festgestellt habe, liegen im Uphillbereich. Das Vorderrad liegt da nun nervöser und neigt auch eher zum steigen, aber das muss ich dann immer noch zusätzlich ein wenig provozieren, von daher passt das so schon. Das Lenkverhalten bergab ist nun nicht mehr ganz so direkt, aber der Wendigkeit hat es kaum Abbruch getan, ich komme überall gut rum. Dank des kürzeren Vorbaus eher sogar besser. Genügend Druck auf das Vorderrad ist auch noch da. Und der breitere Lenker gibt noch ein wenig mehr Kontrolle.

Ich wollte einfach nicht akzeptieren das mein Alteisen bergab nicht zumindest halbwegs konkurrenzfähig ist. Wenn Du sagst, daß Dein 29er in kritischen Bereichen leichter beherrschen ist als Dein altes 26er, dann klingt das für mich so als sei das unabänderbar. Quasi ein Naturgesetz. Und genau das habe ich in Frage gestellt. Das Resultat ist nach heutigen Maßstäben sicherlich nicht perfekt, aber durchaus brauchbar.
 
Alles gut, außer deiner Verletzung, ich hoffe, Du kannst bald wieder fahren.
Der gravierende Unterschied zwischen den beiden Rädern besteht darin, das der Rahmen des 29er höher zum Fahrer steht. Ich sitze mehr "im" Rahmen als "auf " dem Rad beim 26er.
Der Lenker des 29er ist satte 10 cm höher als beim 26er, dabei sind im Sattelbereich beide fast identisch. Die Einbauhöhe der Gabeln ist auch fast identisch.
Ich fühle mich auf dem 26er pudelwohl, ein geiles Bike und ich gedenke es zu fahren, bis der Rahmen bricht.
Am meisten freut mich, das deine "Verschlimmbesserung" nicht zum Sturz beigetragen hat.
 
Bergab ist ein zu tiefes Cockpit natürlich ungeil. Ich fahre mit 15mm Spacer und 38mm Rise im Lenker, so daß mein Cockpit nicht allzu tief liegt. Das Steuerrohr ist mit 120mm ja auch nicht sonderlich lang. Die Cockpits der 27,5er der Kumpels bauen allesamt jedenfalls ein wenig höher, aber nur wenige Zentimeter. 10 Zentimeter ist natürlich eine Welt.

Und an sowas wie Rahmenbruch will ich gar nicht denken.
 
Sixpack hat mir übrigens anstandslos über den deutschen Vertrieb (Carat Products GmbH) nach meiner Reklamation nun eine neue Sixpack-Nabe zum Wert von 134,45 € übersandt. Zur Erinnnerung, die 6 Monate nach Kauf bzw. Lieferung waren bei der Reklamation bereits knapp überschritten. Stichpunkt Beweislastumkehr Gewährleistung. Da hätte Sixpack schon rummosern können. Von daher kann ich mit dieser Regelung schon zufrieden sein. Wobei ich nun nicht weiß was ich mit der Nabe gerade anfangen soll, da ja nun eine XT-Nabe verbaut ist die anstandslos läuft. Auch wenn die Sixpack-Nabe leichter ist baue ich da jetzt doch nicht mehr um.

Aber schon kurios: Die Shimano XT-Nabe hat mit Einbau 50 € weniger gekostet als eine neue Sixpack-Nabe kostet. Ohne Einbau, was ja immerhin ein komplettes Umspeichen beinhaltet.
 
Sixpack hat mir übrigens anstandslos über den deutschen Vertrieb (Carat Products GmbH) nach meiner Reklamation nun eine neue Sixpack-Nabe zum Wert von 134,45 € übersandt. Zur Erinnnerung, die 6 Monate nach Kauf bzw. Lieferung waren bei der Reklamation bereits knapp überschritten. Stichpunkt Beweislastumkehr Gewährleistung. Da hätte Sixpack schon rummosern können. Von daher kann ich mit dieser Regelung schon zufrieden sein. Wobei ich nun nicht weiß was ich mit der Nabe gerade anfangen soll, da ja nun eine XT-Nabe verbaut ist die anstandslos läuft. Auch wenn die Sixpack-Nabe leichter ist baue ich da jetzt doch nicht mehr um.

Aber schon kurios: Die Shimano XT-Nabe hat mit Einbau 50 € weniger gekostet als eine neue Sixpack-Nabe kostet. Ohne Einbau, was ja immerhin ein komplettes Umspeichen beinhaltet.

Bei Fahrten zur Eisdiele oder Tagesetappen in die Umgebung - fürs Forum + Contest- mögen Grammknauser ja ganz schön sein. Für ruppige Gebirgstouren weit von daheim, lieber was bewährt Japanisches. Ein einziger Defekt im Nirgendwo macht klug.
Sixpack ade, XT ole.
 
Zuletzt bearbeitet:
Bin jetzt spontan mit dem 97er Karakoram beim 12-Stunden-Rennen in Külsheim mitgefahren. Mein erstes MTB-Rennen - war ne tolle Erfahrung und ich denke nur mit diesem Rad ganz genial. Ok, der Nerv im linken Handgelenk ist auch angeschlagen, aber irgendwas ist ja immer.
 
Heute wurde mir abschliessend klar, dass man 26er nur noch zu Haushaltsgummis (z. B. um eine angefangene Kaffeepulvertuete transportsicher zu verschliessen) umbauen kann ... :lol:
Was anderes geht nicht mehr :D :D



(Im Ausschnitt oben rechts vergroessert und nachgezeichnet zwecks Deutlichkeit)
 
Zurück