Folge dem Video um zu sehen, wie unsere Website als Web-App auf dem Startbildschirm installiert werden kann.
Anmerkung: Diese Funktion ist in einigen Browsern möglicherweise nicht verfügbar.
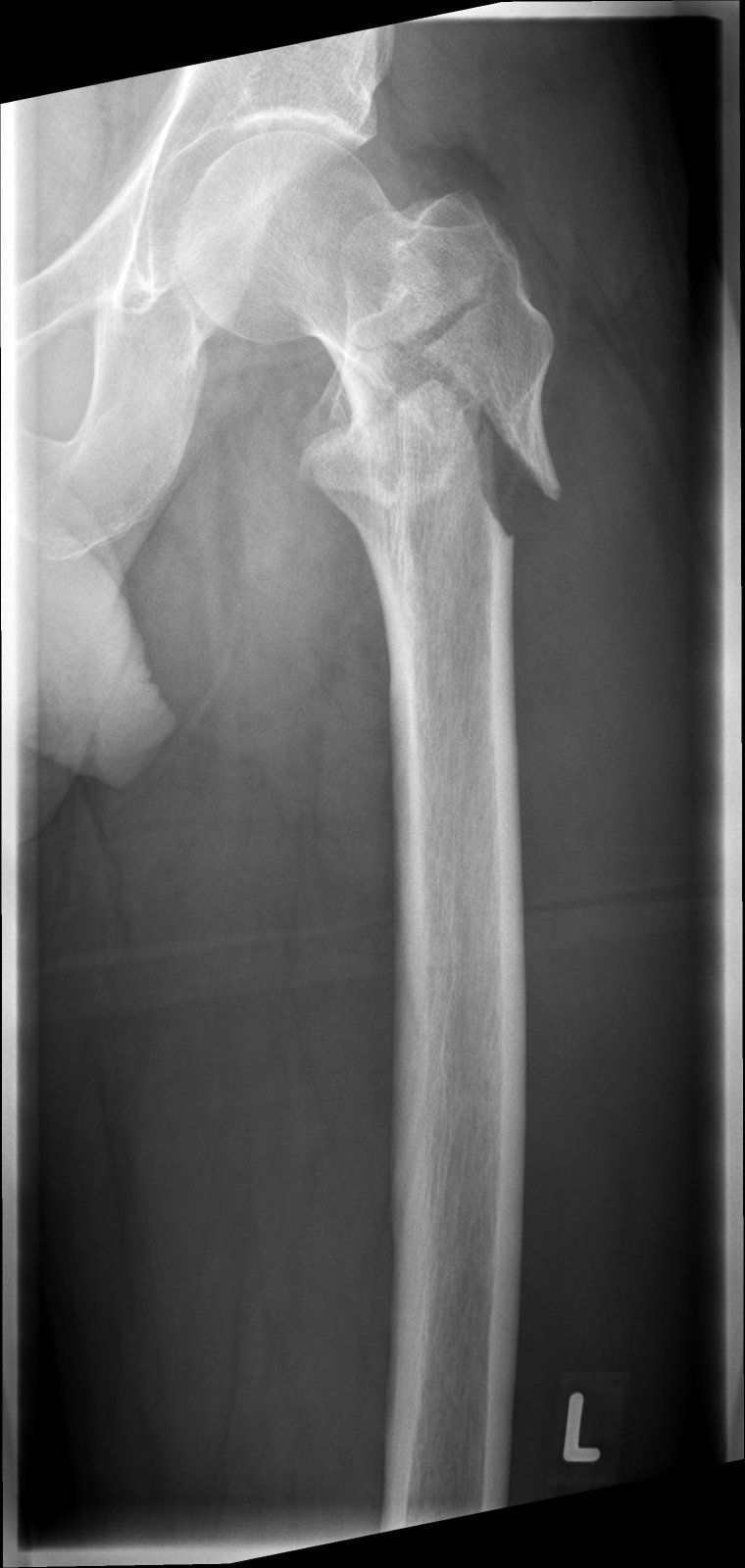
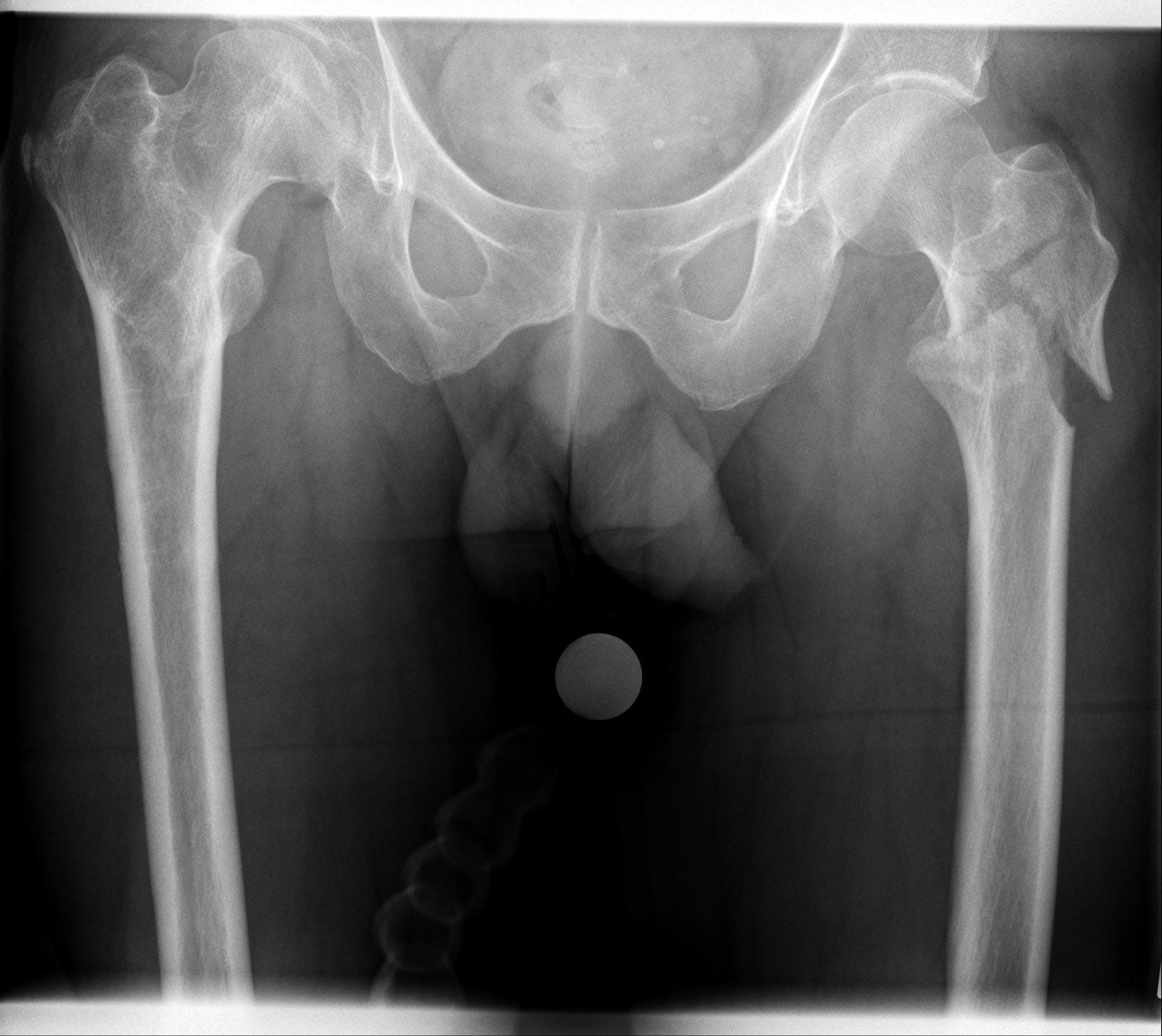
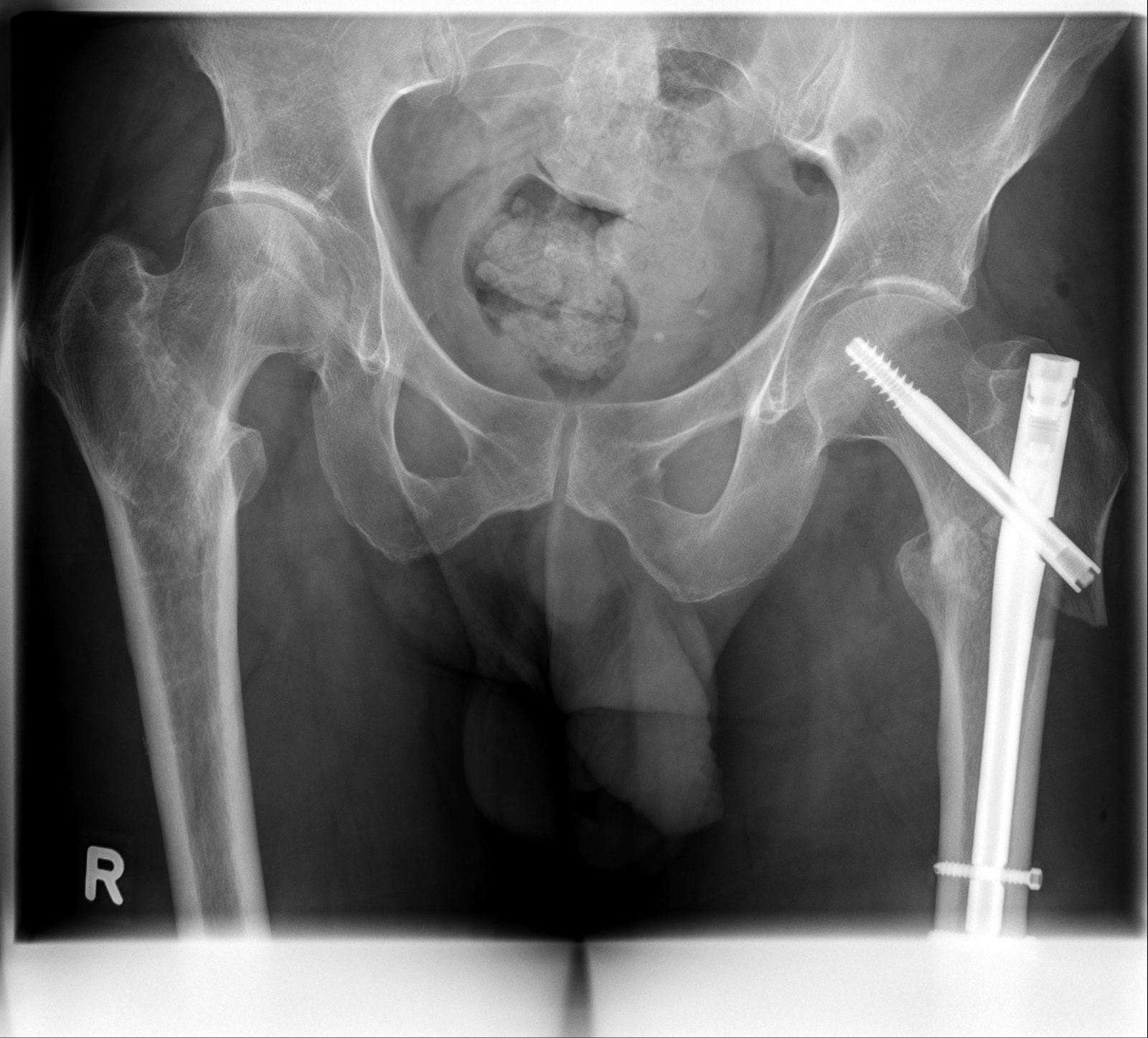
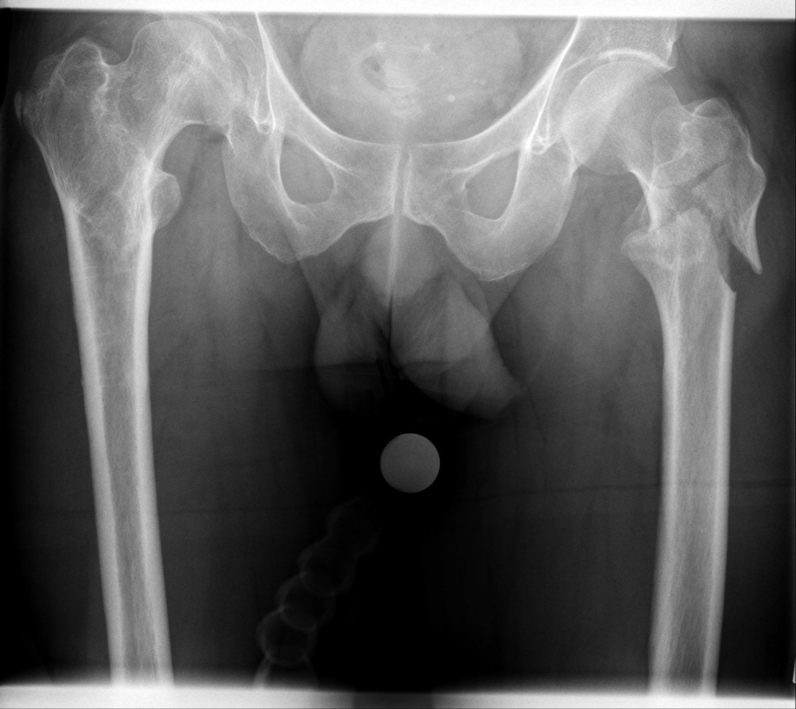
Puh, sieht ja heftig aus. Was verbauen die denn da so? Titan?Anhang anzeigen 1812570
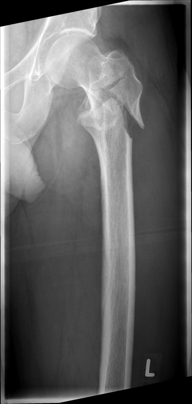
Anhang anzeigen 1812571
Anhang anzeigen 1812569
Anhang anzeigen 1812572
Habe heute mal die Röntgenbilder von der CD geholt.
Für nur über eine Kante gestolpert echt heftig. Habe gestern mit meiner Hausärztin gesprochen und direkt einen Cocktail aus Schmerzmittel, Vitamin D3 und Calcium verschrieben bekommen.
Ach du meine Güte, hast du vor, langsam eine Maschine zu werden? Das halbe Bein besteht als Metall.Anhang anzeigen 1812570
Anhang anzeigen 1812571
Anhang anzeigen 1812569
Anhang anzeigen 1812572
Habe heute mal die Röntgenbilder von der CD geholt.
Für nur über eine Kante gestolpert echt heftig. Habe gestern mit meiner Hausärztin gesprochen und direkt einen Cocktail aus Schmerzmittel, Vitamin D3 und Calcium verschrieben bekommen.
Titan ist es, darf im Körper bleiben.Puh, sieht ja heftig aus. Was verbauen die denn da so? Titan?
Zumindest mal der halbe Oberschenkel. Der Nagel ist 20cm lang, die Schraube oben 13cm. Ist schon massiv. Wie sagte ich vorhin zu meinen besten Freund: Nach meinen Tod lohnt sich das ausschlachten!Ach du meine Güte, hast du vor, langsam eine Maschine zu werden? Das halbe Bein besteht als Metall.
Genau mein Humorgestolpert
Jupp, bei Titan denke irgendwie an den Freilaufkörper meiner 7700 Dura Ace Nabe von 1998 ...Titan ist es, darf im Körper bleiben.
Zumindest mal der halbe Oberschenkel. Der Nagel ist 20cm lang, die Schraube oben 13cm. Ist schon massiv. Wie sagte ich vorhin zu meinen besten Freund: Nach meinen Tod lohnt sich das ausschlachten!

Läßt sich nicht irgendwie für einen Tag Home Office einbauen, um die Krankengeldgeschichte zurückzusetzen?
Hilft aber nix wenn er für die zweite Runde nicht was anderes erfindet. Gleiche Geschichte summiert sich in einem bestimten Zeitraum, glaube 6Monate waren es
Das sowieso nicht. Mag ja im ersten Moment alles blöd sein und auch Osteoporose ist nichts, was man sich wünscht, aber, und da spricht jetzt der Pfleger aus mir: Besser der Mist wird jetzt früh erkannt und behandelt. Vom Augen und Ohren verschließen wird es nicht besser.Laß Dir die Moral nicht verderben,
Ich wünsche dir weiterhin gute Genesung!Ganz ungewohntes Gefühl durch jahrelangen Schichtdienst: Geburtstag, Weihnachten und Silvester zur freien Verfügung.
Nutze die Zeit übrigens gerade um einen Ausgleich zur Arbeit und zum Radfahren zu bekommen. Gibt im Dezember Laufschuhe!
Für die Reha brauche ich sowieso Sportschuhe (ich glaube XC Schuhe sind nicht gemeint) und je nachdem was hinterher geht ist Walking oder Laufen mit Sicherheit nicht die falscheste Idee.
Übrigens verlagere ich gerade mehr und mehr Gewicht nahezu ohne Schmerzmittel auf das linke Bein. Mein persönliches Ziel ist zu Weihnachten mit einer Gehstütze unterwegs zu sein. Reha ist natürlich erst im Januar.